Volume Rendering - 3DView software

The 3DView software was born under the EPSRC funded CASSPAR project, led by Dr. Rudy Lapeer, and in collaboration with Dr. Roger Rowland of RMR Systems Ltd . 3DView is a PC-based volume rendering application which uses 2D or 3D textures to render volumetric data, for example from CT or MR scans.

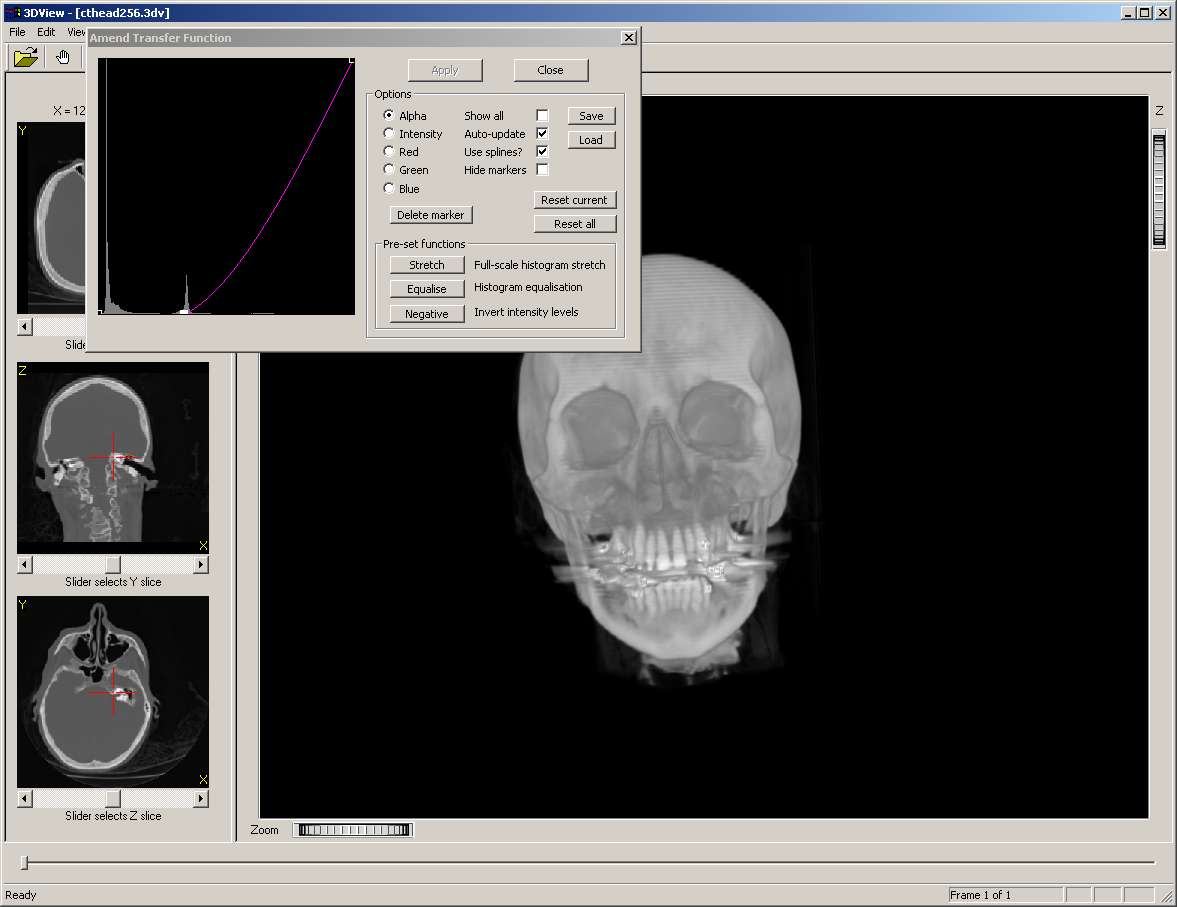
3DView Features

The 3DView application runs on a Windows platform and was developed using Microsoft Visual C++ and MFC. For DICOM import, we use a VC7 port of the OFFIS DCMTK Toolkit. The graphics are produced using OpenGL. 3DView will run on most modern hardware but is optimised for higher-spec graphics cards (NVidia GeForce 3 and above or ATI Radeon 9000 and above). Features include:

bullet Alpha blended display of volumetric data using 2D or 3D textures
bullet Maximum Intensity Projection (MIP)
bullet Multi-Planar Reformatting (MPR)
bullet Up to six fixed-orientation moveable cut planes
bullet Interactive fly-through
bullet Stereoscopic display using anaglyph or dual viewport methods
bullet Interactive transfer function modification
bullet Iso-surface mesh generation
bullet 3D Watershed segmentation
bullet Raw data and DICOM data import options

If you wish to evaluate 3DView, you can download the executable and documentation here. Please read the copyright and license carefully. Use of 3DView implies your understanding and acceptance of these conditions. The download is free for both academic and commercial users and is not time limited.

If you just want to view the documentation, you can download this here. You will need the Adobe Acrobat Reader.

Contact Us

To contact us, either use the link at the top of this page, or click here to send an e-mail.